Petit trou dans la dent. La vie cest comme une bicyclette il faut avancer pour ne pas perdre léquilibre.

Petits Trous Entre Chaque Dent Et La Gencive Problemes Dentaires Forum Sante Doctissimo
Ce trou se trouve côté joue.

Petit trou dans la dent. Lorsque la douleur atteint une seule dent les causes les plus fréquemment observées sont la présence dune dent casséeou fissurée une surocclusion est souvent liée à une restauration récente ou la présence dune dent infectée. Doù limportance du brossage des dents. Dans certaines situations plus spécifiques il arrive que la carie atteigne la dent sous le niveau de la gencive ou de los.
Si la dent est dévitalisé elle est morte et ne vous fera donc pas souffrir. Cest dans un petit trou tout bénin quHenri Laborde fait la découverte dun petit objet dun peu plus de 82 grammes posé sur le bord dune paroi qui va savérer être la dent dun jeune. Cependant il faut rapidement finir les soins entamés au risque de voir dautres problèmes dentaires apparaître.
Petit Pierre embrassa sa. Httpssante-medecinejournaldesfemmesfrforumaffich-1788164-petit-trou-dans-une-dent 13 ans tu vois avec tes parents et le dentiste. Quand la carie fait son trou.
En cas de carie dentaire douloureuse et que la dent présente un trou mieux vaut se diriger vers lhuile essentielle de giroflier connue pour ses propriétés anti-bactérienne et anti-douleur. - Un trou dans une dent. Ces derniers mont fait une radio panoramique et ont regardé mes dents à loeil nu.
La carie est une véritable infection de la dent quil faut traiter rapidement sous peine de la voir se transformer en abcès. Bonjour Ayant remarqué un petit creux de couleur jaune marron derrière une incisive du haut je suis allée chez le dentiste en pensant à une Forums Santé. Ce diagnostic me rend perplexe.
Cest alors que linfection peut se propager et que lon ressent une douleur. Les matériaux compris dans les implants qui sont le plus souvent problématiques sont laluminium et le vanadium présents dans certains types dimplants mais pas tous. La solution pour refermer un trou dans une dent Si vous venez de perdre un plombage si vous avez un pansement pour dent tombé ou si vous avez une nouvelle carie qui vient de se former et qui vous fait souffrir vous pouvez solutionner le problème provisoirement en appliquant vous même le produit CIMADENT en attendant de solutionner le problème avec votre dentiste.
Sinon dans le genre remède de grand-mère vous pouvez essayer avec un clou de girofle sur la dent concernée ou bien des produits pharmaceutiques mais gardez à lesprit que ce ne sont que des solutions extrêmement temporaires et la plupart du temps sans réel effet si vous avez une vraie rage de dents. Elle est également responsable de la rage de dent. Petit trou dans la Molaire Il faut bien-sûr aller voir un dentiste mais le plus probable est simplement une carie.
Ce trou est causé par lacidité produite par des bactéries lorsquelles trouvent du sucre dans la bouche. Lorsque la dent fait mal il est souvent trop tard. La carie je rappelle cest juste un trou.
Un petit trou dans la dent qui se creuse et peut même atteindre la pulpe où circulent les nerfs et les vaisseaux sanguins. Le Petit Trou is a unique lingerie and lifestyle brand for the women in love with fashion. Bonjour Il y a quelques semaines jai remarqué un trou dans ma dent du fond.
En dentisterie le trou est une raison sérieuse pour un traitement immédiatLes causes de processus pathologiques peuvent être déclenchées par de nombreux facteursChaque cas exige un individu à traiter. Un trou dans une dent est la plupart du temps le signe dune carie débutante ou profonde La rage de dent nest pas loin si lon ne fait rien. - Il est tard mon garçon bonne nuit.
Je suis allée chez 3 dentistes différents. - Oui un petit trou dans une dent et si on ne la soigne pas ça finit par faire très mal. Au départ le trou nest pas coloré.
Ils nont trouvé aucune carie.

Bruxisme Grincement De Dents Et Usure Dentaire Bucco
![]()
238 Trou Dans La Dent Photos Libres De Droits Et Gratuites De Dreamstime

Un Petit Trou Dans Une Dent Photo Stock Alamy
![]()
238 Trou Dans La Dent Photos Libres De Droits Et Gratuites De Dreamstime

Le Trou Dans Une Dent Est Souvent Une Carie Qui Engendre Une Douleur
![]()
Stade 2 De La Carie La Destruction De La Dentine

Les Triangles Noirs Entre Les Dents L Orthodontie Peut Les Supprimer Rapidement

Restauration En Composite Plombage Blanc Bucco

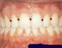
Petits Points Noirs Dent Problemes Dentaires Forum Sante Doctissimo
ads
Tilkee
Search This Blog
Blog Archive
- janvier 2023 (11)
- juin 2022 (3)
- mai 2022 (23)
- avril 2022 (21)
- mars 2022 (19)
- février 2022 (22)
- janvier 2022 (23)
- décembre 2021 (26)
- novembre 2021 (23)
- octobre 2021 (27)
- septembre 2021 (30)
- août 2021 (31)
- juillet 2021 (32)
- juin 2021 (29)
- mai 2021 (31)
- avril 2021 (43)
- mars 2021 (30)
- février 2021 (28)
- janvier 2021 (31)
- décembre 2020 (31)
- novembre 2020 (31)
- octobre 2020 (30)
- septembre 2020 (31)
- août 2020 (29)
- juillet 2020 (31)
- juin 2020 (30)
- mai 2020 (32)
- avril 2020 (30)
- mars 2020 (5)
Labels
- 7streaming
- about
- accents
- accord
- accusé
- acrylique
- adresse
- adventure
- after
- agées
- agent
- agréable
- aimer
- alcantara
- alerte
- algerien
- allah
- allée
- alliance
- allumé
- amour
- ampli
- ampoule
- analyse
- ananas
- android
- anglais
- animaux
- anime
- année
- années
- annuler
- another
- answers
- antécédent
- anticonstitutionnellement
- antipollution
- antivol
- aoudhou
- appelle
- applications
- apportées
- apprendre
- apres
- après
- aquarium
- arabe
- aragon
- arbre
- archange
- argent
- arobase
- arret
- arrêt
- arriere
- asiatique
- assez
- assistante
- associer
- asticot
- atomique
- attente
- attester
- auchan
- audacity
- augmenter
- aujourdhui
- autant
- autour
- avance
- avast
- avion
- azerty
- bague
- balance
- banane
- bancaire
- barbe
- barek
- basile
- basilique
- baskets
- bateau
- batterie
- battle
- baudelaire
- béchamel
- before
- belette
- belle
- belles
- belong
- best
- biberons
- bible
- bicarbonate
- biscuit
- bises
- bites
- black
- blanc
- blanche
- blanchir
- blancs
- blonds
- bloquer
- boite
- bombe
- bonne
- books
- borderlands
- botticelli
- bouché
- boudin
- bouteille
- bouton
- branchement
- brancher
- brassens
- brisée
- broché
- bruit
- bruxelles
- bushels
- buttercup
- caerbannog
- cafetière
- caisse
- calcul
- calculator
- calculer
- california
- calligraphie
- calmer
- canapé
- canard
- canaris
- cancer
- capitale
- capot
- carabine
- caractere
- caramel
- carbone
- cardiaque
- carey
- carreau
- carrefour
- carrelage
- carrière
- carte
- casio
- cassé
- cassettes
- catalyseur
- cellule
- center
- cessation
- chambre
- champagne
- champignon
- changement
- changer
- chanson
- chantent
- chanteur
- chapitre
- charles
- chasse
- chataignes
- chaude
- chemises
- cheque
- cheveux
- chèvre
- chevreuil
- chewing
- chien
- chirurgie
- choses
- chrome
- ciment
- circonflexe
- classe
- clavier
- cleopatre
- coccinelle
- coincée
- coincés
- coller
- combat
- combien
- commencant
- commence
- comment
- commentaire
- commercant
- communication
- compresser
- compteur
- computer
- concombre
- congeler
- conjugaison
- connerie
- conséquence
- conservation
- conserver
- consommable
- contacteur
- contraction
- contre
- contrefait
- conversation
- conversion
- convertir
- coquilles
- corbeau
- corneille
- correctly
- corrupt
- corse
- cosinus
- cotes
- coucher
- could
- couleurs
- couper
- courroie
- court
- crabe
- creamy
- crème
- creuse
- crimson
- crues
- cuire
- cuisse
- cuisses
- cuisson
- cuissot
- cylindre
- cytoplasme
- dagneau
- dalcool
- dalternateur
- damien
- damoclès
- danger
- dangereux
- dautruche
- davion
- davoine
- dawson
- deanne
- débloquer
- décoller
- décriture
- déesse
- défaillant
- defaut
- dégoute
- degré
- delai
- delegue
- delete
- demarrage
- demarre
- démonstration
- demonter
- demploi
- denkidiev
- dentier
- dépargne
- depot
- déquipe
- desactiver
- déserte
- deskjet
- dessaler
- dessin
- destop
- déteint
- deteste
- deurope
- devenir
- dévisser
- dhuile
- diable
- diese
- dièse
- diesel
- difference
- différence
- dimension
- diplome
- disjoncteur
- disparu
- disque
- distance
- doigt
- doigts
- dorage
- doranger
- dorment
- dormirons
- doubler
- douvrir
- dragon
- draguer
- drame
- dressage
- duree
- dwayne
- eastpak
- echappement
- echec
- éclair
- écrire
- effacer
- efficace
- election
- electrique
- elles
- embaume
- embrasse
- empire
- enceinte
- encore
- endives
- energie
- enfant
- enfers
- enflées
- enlever
- entier
- entiers
- entre
- enveloppe
- envoie
- envoyée
- éperons
- epiler
- episode
- equalizer
- equipe
- équipe
- erreur
- espagnol
- essence
- esset
- étiquette
- excel
- expression
- extra
- fabriquer
- facts
- faience
- faire
- falsifié
- family
- fantasy
- fausse
- femelle
- femen
- femme
- fermeture
- feuille
- feuilles
- fiabilité
- ficus
- filet
- filiale
- fille
- filtre
- finance
- fines
- flash
- fleur
- forlorn
- forme
- formulaire
- fourmis
- foutre
- fraction
- fraîches
- franc
- francais
- français
- freine
- friends
- froid
- fromage
- furious
- fuselées
- fusible
- galaxy
- games
- garçons
- gasoil
- gateau
- general
- gentille
- genus
- geometrique
- germée
- germer
- girls
- gitan
- gotta
- goutte
- granules
- grasse
- gratin
- gratuit
- grave
- grévin
- grosses
- grossir
- groupe
- guerre
- hagure
- halal
- handball
- haram
- haricot
- haricots
- hataraku
- hebreu
- hellsing
- herbe
- historique
- holem
- homme
- honni
- hoover
- horaire
- horse
- hotmail
- huile
- humain
- hunger
- hydrofuge
- ibuprofene
- illustrator
- image
- impérial
- impossible
- imprimante
- inconscience
- inconscient
- indice
- infini
- installation
- iphone
- irish
- isométrique
- isotonique
- italien
- jackson
- jacques
- jaden
- jafaden
- jaimerai
- jalouse
- jambes
- janai
- jardin
- jaune
- jauni
- javais
- jeter
- joseph
- joséphine
- joueur
- jours
- joyeux
- juges
- julie
- juridique
- jusqu
- jusquà
- kaeskueche
- kahlo
- kakou
- katarzyna
- katsura
- kefir
- keygen
- kilometrage
- kilometre
- kilos
- kingdom
- knowledge
- ladresse
- laime
- laine
- laisse
- laisser
- laluminium
- lampérage
- lanceur
- langouste
- langue
- lapeyre
- lapin
- laqué
- larchiduchesse
- largeur
- laver
- leffet
- légalement
- legend
- légumes
- lenfer
- lenvoyer
- leonard
- letrange
- lettre
- lettres
- lévadé
- lhuile
- liberté
- lièvre
- light
- lignes
- limite
- linconscient
- linge
- liquide
- little
- livebox
- livre
- lodeur
- loeil
- logiciel
- loreille
- louis
- machallah
- machine
- maime
- maison
- maitre
- mamadou
- mange
- mangé
- mangeable
- manger
- manque
- manual
- marchand
- marguerite
- mariah
- marmotte
- marqué
- marre
- marron
- martial
- match
- mathieu
- mathy
- matin
- mauvaise
- mavancerai
- mcginley
- meilleures
- mélaminé
- message
- mesurer
- metal
- mettre
- meuleuse
- michael
- microapp
- microsoft
- minish
- miroir
- miss
- modifier
- module
- moins
- moitié
- monde
- monoxyde
- monsieur
- montre
- montrer
- moteur
- motivation
- moules
- mouvement
- mozilla
- musique
- musulman
- naissance
- naruto
- nationalité
- nefle
- nentretient
- nenvoie
- nespresso
- nettoyage
- nettoyer
- nevada
- nexistais
- night
- niveau
- noeud
- noire
- nombre
- notation
- nouvelles
- novel
- nspire
- numéro
- objet
- oeuvre
- office
- olives
- olivier
- optical
- orange
- oranges
- order
- orgelet
- origine
- orochimaru
- orteil
- orthographe
- ouverte
- ouvrir
- oxydée
- paies
- panier
- papier
- papouilles
- pardon
- parement
- parleur
- parodie
- paroles
- parsing
- passe
- pastis
- patate
- pates
- patienter
- patisserie
- patrick
- peinture
- pente
- perfect
- périmés
- période
- persil
- personne
- personnes
- perte
- petit
- petite
- peugeot
- pharaon
- phases
- physiologique
- piece
- pièce
- pieds
- piensa
- pier
- pieuvre
- pigeon
- pince
- placo
- plafond
- plague
- plaisir
- plancher
- planète
- plante
- plastique
- player
- plein
- pluie
- plupart
- pluriel
- plusieurs
- podcast
- poétique
- point
- poireaux
- poliment
- polystyrene
- pomme
- popcorn
- portable
- porte
- poser
- positif
- potentielle
- poudre
- poule
- poulet
- pounds
- pourcentage
- pourquoi
- pousse
- poussin
- pouvez
- prendre
- prenom
- présenter
- pression
- primadonna
- prince
- prioritaire
- product
- production
- progression
- protégé
- puissance
- purge
- quand
- quatres
- quelle
- quelles
- quelquun
- quest
- questions
- queue
- quitté
- quizzes
- quune
- racine
- raclette
- radiateur
- rajim
- rallonger
- ramener
- rattrapage
- rattraper
- réalisme
- rebiquent
- reception
- recette
- rechargeable
- reconnaitre
- récupérer
- refroidissement
- refuser
- regard
- regarde
- règle
- regles
- réinitialiser
- relié
- remerciement
- remplacement
- remplacer
- remplir
- renard
- rendu
- rendue
- répondre
- réponse
- reposer
- reprise
- ressort
- resume
- résumé
- retirer
- rétrécir
- rétrocontrole
- retrouver
- rever
- rêver
- revoir
- risotto
- risques
- romantique
- rotule
- rouge
- rouler
- rugby
- russel
- ryanair
- sainte
- saints
- salaire
- salée
- salle
- sancho
- sangria
- sanson
- sappelle
- sasuke
- sauce
- saumon
- saumure
- sauvé
- savoir
- season
- sebastien
- sécher
- secret
- seigneur
- selection
- séloignent
- sennuie
- sentir
- serie
- servez
- service
- séteint
- seule
- seven
- shakira
- shaquille
- shippuden
- shirt
- siemens
- siffler
- signe
- signes
- smith
- societas
- soeur
- software
- soignante
- soleil
- soupe
- sourire
- sourit
- soutenir
- species
- sphère
- spirit
- steak
- story
- stratifié
- succursale
- sunshine
- supprimer
- symbolique
- système
- table
- tableau
- tache
- taime
- tarif
- tarrive
- tarte
- telecharger
- télécharger
- temps
- tenerife
- tenir
- terrain
- terre
- test
- thermostat
- those
- tiroir
- tissu
- titres
- todays
- toile
- toilettes
- toits
- toiture
- tombe
- tondeuse
- tonne
- tools
- torrent
- touche
- tourne
- toute
- toutes
- towns
- toxique
- traduction
- trainer
- traitant
- traitement
- transformer
- transmet
- transmets
- transporter
- triple
- trivia
- trouve
- trouver
- tueur
- tutorial
- ultimate
- univers
- vaisselle
- valérie
- valeur
- vegas
- vegetale
- ventoline
- ventouse
- verlaine
- vernis
- verre
- verrouillé
- vetement
- viande
- vidanger
- video
- vierge
- vignette
- village
- vinaigre
- virus
- visit
- visual
- vitaa
- vitesse
- vivement
- vivre
- voies
- volent
- volets
- volley
- vostfr
- vouloir
- watson
- weihrauch
- wentworth
- while
- whirlpool
- wikipedia
- windows
- wr30m
- yaourt
- yaris
- yuusha
-
Titre Mis abuelos mis padres y me. - Présentation de lauteur Frida Kahlo est une artiste peintre dorigine mexicaine. Mes Grands Parents Me...
-
Je vous explique comment remettre le curseur dune fermeture à glissière avec une fourchette. Voici une technique pour remettre en place un c...
-
Il est plus fragile que le stratifié. En effet comme la résistance aux rayures et la chaleur du stratifié est supérieure à celle du mélaminé...